"Твоя улыбка КРАСИВАЯ и не нужно прикрывать рот рукой. Вот ради этого ощущения и стоило носить брекеты!" Дарья
Мечта о белоснежной улыбке осуществилась в клинике ОК! Спасибо!
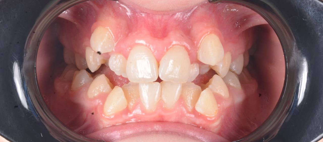
Исправить скученность зубов в зоне улыбки - было моей мечтой! Спасибо клинике ОК и Анастасии Андреевне за воплощение моей мечты в реальность!
Лечение кариеса и восстановление формы зуба - просто шедевральная работа. Все никак не налюбуюсь своим зубом, уж очень красивый!! Спасибо!!!
Непростая ситуация, связанная с расположением зубов: лечение кариеса до начала ортодонтического лечения проведено максимально эффективно. Профессионалы своего дела!
Стеснялась улыбаться, потому что один зуб был как будто спрятан назад и казалось, что его нет. Сейчас я счастлива, что могу уверенно улыбаться и моя улыбка мне нравится!
Еще в детском возрасте мама записала меня на консультацию к Ольге Валерьевне и мы начали лечение !Сегодня у меня совсем другой прикус и улыбка ! Спасибо !я очень счастлива
Меня, как маму, беспокоило что у сына - нижняя челюсть выдвинута вперед и даже друзья и знакомые говорили про это, это реально было заметно. Очень рада, что обратилась в ортодонтическую клинику и мы решили эту ситуацию, не запустив процесс.
Мне не нравилась моя улыбка и я постоянно испытывала смущение. Очень рада, что решилась на ортодонтическое лечение!
Мама мальчика 8 лет обратилась с жалобой: Я вижу, что зуб у сына находится в неправильно положении, возможно ли сейчас это исправить?? Да! Мы достигли результата за 5 месяцев!
У меня никогда не смыкались зубы полностью и бепокоили клыки. Решила обратиться за консультацией к ортодонту. В завершении лечения понимаю, что это было самым моим лучшим решением-начать лечение на брекет-системе!
Меня беспокила стираемость зубов и после диагностики высянилось,что мне необходимо комбинированное ортодонтическое лечение совместно с челюстно-лицевым хирургом. Результат поразил всех близких - изменения по профилю были настолько заметны, что пришлось и
Сделала гигиену DentalSpa в клинике.Максимально комфортно: маска на лицо, парафинотерапия для рук. Юлия Михайловна указала, где я не прочищаю зубы, показала правильные движения и на осмотре через 2 мес. -бледно-розовый индикатор,вместо темно-фиолетового!
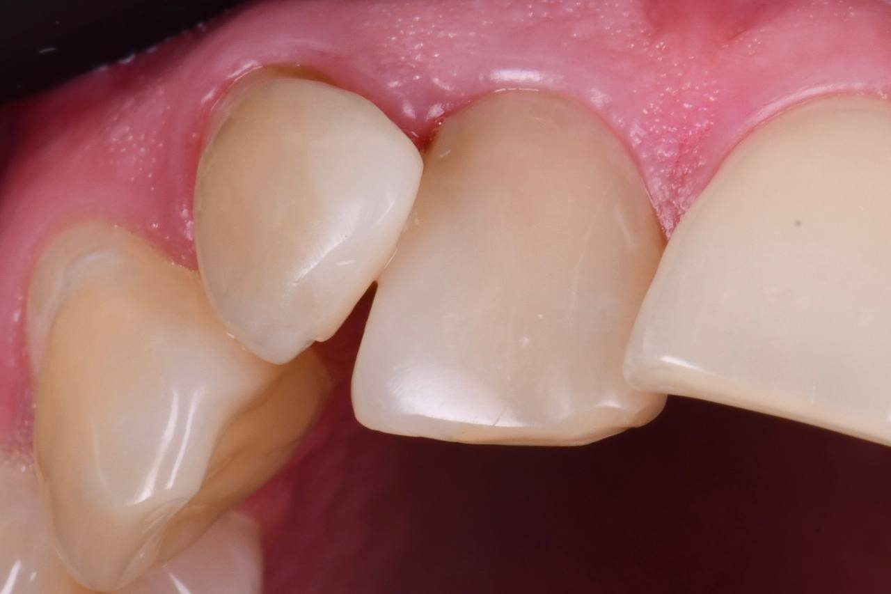
Обратилась с проблемой эстетики переднего зуба - старая пломба пожелтела. Александр Сергеевич сделал реставрацию зуба. Очень довольна результатом!
Сложность моего случая даже фото не отображает , как мне кажется. Комплексный подход ортодонта,хирурга и ортопеда в клинике ОК показал,что невозможное возможно!! Главное обратиться в специализированную клинику!! Благодарю всю команду океян!
Я такая счастливая!!! Могу улыбаться, не стесняясь!! Спасибо моему ортодонту Ольге Валерьевне и команде клиники ОК!!
Я искала именно индивидуальный подход, чтобы обратили внимание не только на зубы, а на эстетику лица. Я очень довольна полученным результатом!
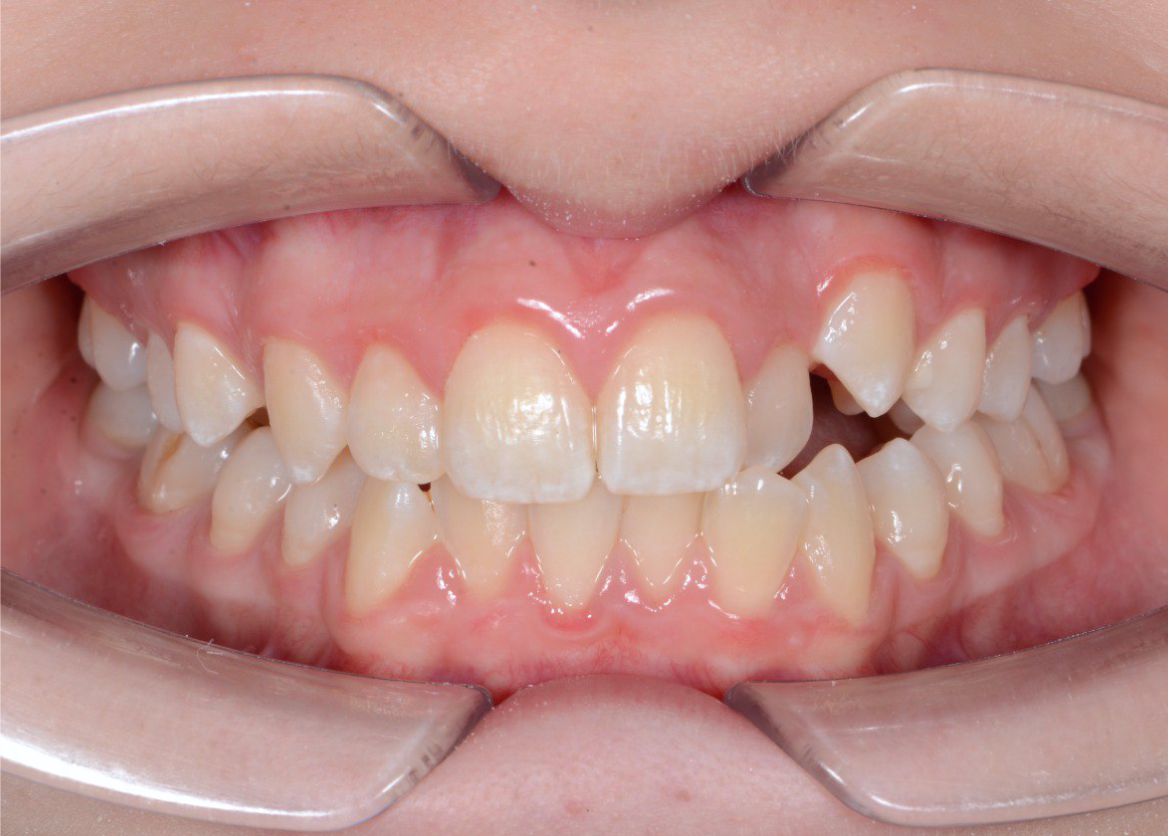
Я всегда мечтала закрыть промежуток между передними зубами. Бесконечно счастлива, что пришла в клинику ОК и мне здесь помогли. Егор Иванович провел ювелирную работу: отбеливание и реставрацию зубов. Теперь я улыбаюсь, не стесняясь!
Мне хотелось идеальной улыбки. А мой нижний зуб закрывал наоборот верхний. Теперь моя улыбка - совершенна!!!
Мне так хотелось улыбаться красивой улыбкой, но я видела только свои острые клыки. Хочу сказать огромное спасибо за свою новую улыбку, потому что теперь я ощущаю гармонию, когда вижу себя в зеркале.
Очень хотела убрать скол между зубами и мечтала о красивой улыбке. Реставрация спасла меня. Благодарю клинику и Егора Ивановича за проделанную работу!
Меня не устроил результат после первого ортодонтического лечения, начиная от формы и наклона зубов до формы подбородка, хотелось изменить все! Я очень счастлива,что решилась на повторное лечение и доверилась клинике ОК
Прекрасно справились с моей задачей по улучшению улыбки. Сделала керамические виниры и готова теперь улыбаться постоянно
Хотела всегда смеяться и не стесняться. Исправлением прикуса в клинике ОК очень довольна! Моя улыбка настолько красива теперь, что я на седьмом небе от счастья
Мечтал о красивой улыбке, не нравился наклон у зубов. Лечение на прозрачных каппах прошло очень комфортно. Доволен результатом, доктором и клиникой ОК
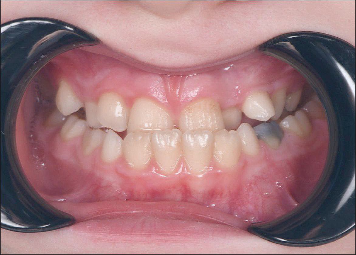
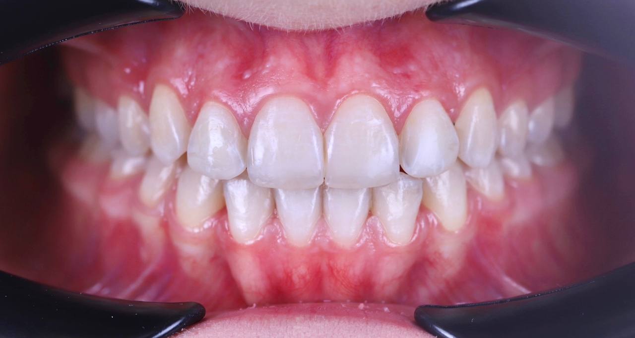
Не нравились мои кривые зубы! Настоящее чудо, что оказалось, что все можно изменить !!
Меня беспокоил один зуб, который прорезался в десне неправильно. Я решилась на ортодонтическое лечение и теперь моя улыбка добавляет мне уверенности в себе!
Я всегда мечтала о широкой улыбке, мне не нравился мой наклон зубов. Клиника ОК подарила мне осуществление моей мечты!!
Меня беспокоил клык в десне и не нравилась моя улыбка. После ортодонтического лечения в клинике ОК я просто счастлив и улыбаюсь чаще! Спасибо!
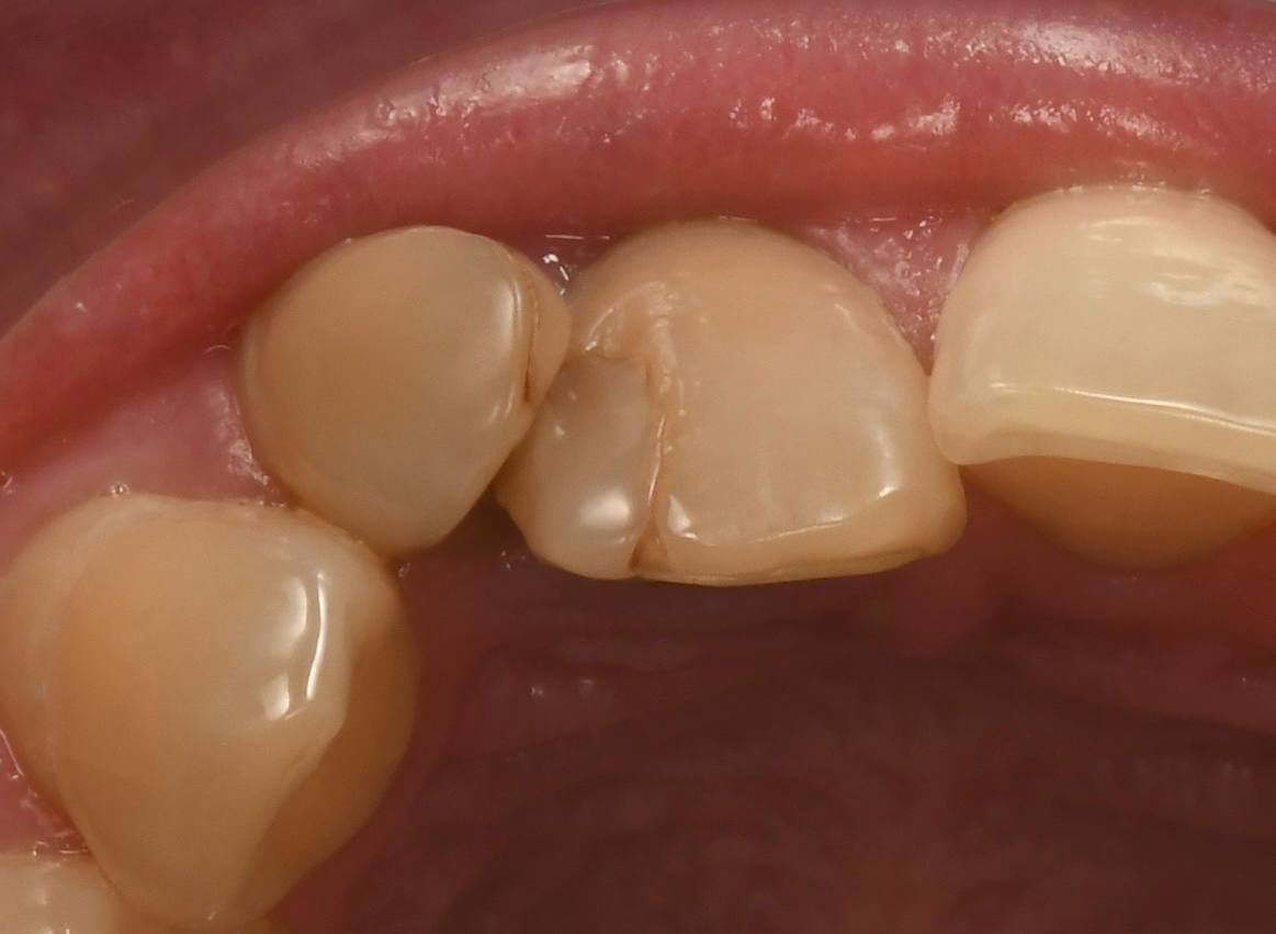
В детстве я упал и сломал передний зуб. Тогда мне сделали пломбу. Уже после ортодонтического лечения была проведена реставрация этого зуба. Теперь я очень доволен результатом работы! Спасибо!
Я думала, что невозможно мою улыбку исправить. Пока не пришла в клинику ОК. Я довольна результатом на все 100%
Когда стесняешься улыбаться, то и радости в жизни кажется не так много. Получив свою красивую улыбку, я постоянно теперь нахожу поводы для радости!
Я больше не стесняюсь улыбаться, моя улыбка стала белоснежной, яркой и неотразимой. Спасибо команде «Клиника ОК» за это Чудо!
Мне пришлось удалить 4 зуба для исправления прикуса, но это того стоило, ведь изменилась не только улыбка, но и внешность, профиль — в лучшую сторону! Спасибо, что результат превзошел мои ожидания.
Все ортодонты говорили, что мой случай можно исправить только при помощи челюстной операции, но мой доктор сотворил чудо и операция не потребовалась.
У меня всегда было неправильное положение передних зубов. Хочу это исправить!
Хочу красиво улыбаться!
Хочу ровные и красивые зубы!
Нижняя челюсть странно расположена по отношению к верхней. Необходимо это исправить.
Мне нужно исправить прикус
Не хочу больше стесняться улыбаться. Хочу ровные зубы!
Всегда хотел иметь ровные зубы и мне врачи говорили, что это не возможно.
Всегда хотела иметь ровные зубы и мне врачи говорили, что это не возможно. Чудо свершилось!
Я считаю свою улыбку неидеальной, как это исправить?
Мне нужно исправить прикус
Мне не нравится как выглядят мои зубы, когда я улыбаюсь. Можно это исправить?
Я пришел за изменением симметрии моего лица и улучшением прикуса, но такого результата даже не мог себе представить!
У меня неправильный прикус
Верхние клыки расположены отдельно от других зубов и очень торчат
Мне не нравится моя улыбка. Очень хочу новую!
Неудобства при жевании, не нравится моя улыбка и форма зубов
Всегда хотела иметь ровные зубы и мне врачи говорили, что это не возможно. Чудо свершилось!
Я никогда не улыбалась и не нравилась себе. Сегодня - я счастлива!
Лечение асимметрии возможно без хирургии
Хочу ровные и красивые зубы!
Всегда хотела иметь ровные зубы и мне врачи говорили, что это не возможно. Чудо свершилось!
Я не верила, что кто-то сможет помочь в моей ситуации, свершилось чудо!!
Мне говорят, что у меня неправильный прикус. Я вижу только кривизну зубов
Сколько себя помню – идея исправления зубов жила со мной все годы. И это свершилось. Моя улыбка стала обворожительной, очаровательной, не повторимой! И я больше не смущаюсь, когда все смеются, я смеюсь
Не хочу больше стесняться улыбаться. Хочу ровные зубы.
У меня огромная разница в размерах челюстей: большая верхняя и маленькая нижняя. Они не смыкаются между собой и из-за этого у меня нарушена дикция, есть трудности при откусывании пищи. А в профиль я вообще не могу на себя смотреть: слишком торчат вперед..
У меня выступал один зуб вперед и слишком видна была десна при улыбке.
Нижние зубы впереди верхних, есть неудобства при жевании, не нравится моя улыбка и форма зубов.
Всегда хотела иметь ровные зубы и мне врачи говорили, что это не возможно. Чудо свершилось!
Мои верхние и нижние зубы не смыкаются друг с другом.

Пациенты о нас

Контакты

г. Челябинск
Братьев Кашириных 124, 3 этаж
ПН-СБ с 8:00 до 20:00 ВС - выходной
городской
городской
электронная почта
Мы в социальных сетях: